Aller au contenu principal
Rechercher
Rechercher
Main navigation
A propos
Notre mission
Notre histoire
Notre organisation
Liens avec l'hôpital
Soutiens & Partenariats
Recherche
Aires de recherche
Les Equipes
Publications
L'Institut
Direction
Conseil Scientifique
Appui à la recherche
Annuaire
Evènements & Actualités
Actualités & Blog
Evènements & Séminaires
Fonctions support
INEM Pratique
Techno-Hub
Navigation secondaire
Dons
Carrières
Rechercher
Bluesky
Linkedin
X
fr
en
Filtrer par type
- Tout -
Blog
News
Appliquer
News -
ven 27/06/2025
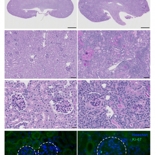
Nouvelle publication dans Science Translational Medicine : l’activation de YAP dans les podocytes déclenche une glomérulonéphrite extracapillaire
Une étude menée par les équipes de Fabiola Terzi et Marco Pontoglio, récemment parue dans Science Translational…
News -
jeu 12/06/2025
L’équipe Schnupf mise à l’honneur au symposium EMBO sur l’infection
Lors du EMBO Symposium – INFECTION: pathogens, hosts and microbiomes (26–28 mai 2025, EMBL Heidelberg, Allemagne), deux…
News -
jeu 22/05/2025
Financement Cross Cutting Edges pour le projet PolluRein de Nicolas Dupont
Nicolas Dupont (DR) a obtenu un financement de l’Université Paris Cité dans le cadre de l’appel à projets Crossing…
News -
ven 02/05/2025
Nina Gruetzmacher obtient une bourse postdoctorale Marie Skłodowska-Curie
Nous sommes heureux d’annoncer que Nina Gruetzmacher, postdoctorante dans l'équipe Contrôle de la croissance cellulaire…
News -
jeu 24/04/2025
Concours Photo Scientifique de l’INEM – Édition 2025
Nous avons le plaisir d’annoncer les lauréats de la 2e édition du Concours Photo Scientifique de l’INEM, qui a une…
News -
ven 18/04/2025
Khaled Tighanimine reçoit le Prix de thèse Oberling-Haguenau de la Fondation ARC
Nous sommes fiers d’annoncer que Khaled Tighanimine, ancien doctorant à l’INEM sous la direction de Mario Pende et…
News -
dim 30/03/2025
Juliane Da Graça reçoit le Prix de thèse 2025 du Club Exo-Endo
Nous avons le plaisir d’annoncer que Juliane Da Graça, ancienne doctorante de l’INEM, a reçu le Prix de thèse 2025 du…
News -
mar 25/03/2025
Les macrophages de la rate au cœur de l’immunité antitumorale - Nouvelle Publication dans Immunity
Une étude menée par l’équipe de Peter van Endert révèle une fonction immunitaire insoupçonnée d’une population rare de…
News -
mar 04/03/2025
Nouvelle publication dans Nature Communications : Cibler les vulnérabilités métaboliques dans les leucémies PI3K-dépendantes
La voie de signalisation PI3K (phosphoinositide 3-kinase) est un moteur clé de la plasticité métabolique des tumeurs…
News -
mer 19/02/2025
Meryem Baghdadi distinguée au Palmarès des Inventeurs 2025
Félicitations à Meryem Baghdadi. Lauréate du Palmarès des inventeurs 2025 Le Point, Meryem fait partie des 100…
News -
ven 07/02/2025
La fatalité de la mucoviscidose sera-t-elle vaincue ?
Au-delà du labo - un nouveau livre, écrit par Aleksander Edelman et Isabelle Sermet-Gaudelus, chercheurs à l'INEM -…
News -
mar 04/02/2025
Le réseau doctoral MENTOR recrute 18 doctorants
Le réseau doctoral MENTOR, coordonné par Mario Pende (INEM, Université Paris Cité), ouvre 18 postes de doctorants.…
News -
jeu 12/12/2024
Daryna Batechko lauréate du prix Filfoie 2024
Nous sommes fiers d’annoncer que Daryna Batechko, doctorante en deuxième année au sein du laboratoire Panasyuk, a reçu…
News -
ven 06/12/2024
Guillaume Canaud, Lauréat du Prix Innovation INSERM 2024
Nous sommes ravis d’annoncer que Guillaume Canaud, a reçu le prestigieux Prix Innovation 2024 de l'Inserm.Ce prix…
News -
mar 03/12/2024
Une bourse ERC pour Matthieu Mahévas et l’équipe Auto-immunité et immunité lymphocytaire B
Nous sommes fiers d’annoncer que Matthieu Mahévas, responsable de l’équipe Auto-immunité et immunité lymphocytaire B, a…
News -
mar 03/12/2024
Khaled Tighanimine : Prix de la Chancellerie des Universités de Paris
Félicitations à Khaled Tighanimine, lauréat du prestigieux Prix de la Chancellerie des Universités de Paris - Prix…
News -
jeu 28/11/2024
Ganna Panasyuk distinguée par le prix Sir George K. Radda au Symposium 2024 à Singapour
Nous sommes fiers d’annoncer que Ganna Panasyuk est lauréate du prestigieux Prix Sir George K. Radda Outstanding Young…
News -
mar 26/11/2024
Mario Pende lauréat du Prix Gaston Rousseau de l'Académie des Sciences
Nous sommes fiers d'annoncer que Mario Pende est lauréat du prestigieux Prix Gaston Rousseau de l'Académie des sciences…
Blog -
mar 26/11/2024
Célébration des 10 ans de l'INEM : Temps forts du symposium
Les 21 et 22 novembre, l’Institut Necker Enfants Malades a célébré une décennie d'excellence scientifique avec son…
News -
mer 20/11/2024
Meryem Baghdadi lauréate du Prix ATIP-Avenir 2024
Nous sommes heureux d'annoncer que Meryem Baghdadi est lauréate du prestigieux prix ATIP-Avenir, soutenu par la…
Pagination
« Premier
Première page
‹ Précédent
Page précédente
1
2
3
4
Suivant ›
Page suivante
Dernier »
Dernière page