Aller au contenu principal

Nouvelle publication dans Science Translational Medicine : l’activation de YAP dans les podocytes déclenche une glomérulonéphrite extracapillaire

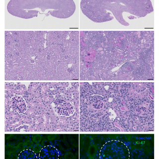
Une étude menée par les équipes de Fabiola Terzi et Marco Pontoglio, récemment parue dans Science Translational Medicine, apporte un nouvel éclairage sur les mécanismes impliqués dans la glomérulonéphrite extracapillaire, une pathologie rénale rare et sévère.

Les chercheurs montrent que l’hyperactivation de YAP, un composant clé de la voie de signalisation Hippo, dans les podocytes rénaux, entraîne une hypertrophie cellulaire et stimule la prolifération des cellules épithéliales pariétales (PEC). Cette interaction conduit à la formation de « croissants », caractéristiques de la glomérulonéphrite extracapillaire.

Grâce à l’utilisation de modèles murins transgéniques et d’analyses transcriptomiques, l’étude identifie CTGF et HB-EGF comme médiateurs possibles du dialogue entre podocytes et cellules pariétales. Ces résultats élargissent la compréhension des réponses des podocytes au stress mécanique et ouvrent de nouvelles perspectives thérapeutiques ciblées pour la glomérulonéphrite extracapillaire, dont les options de traitement restent limitées.

Lire l'article